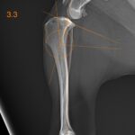
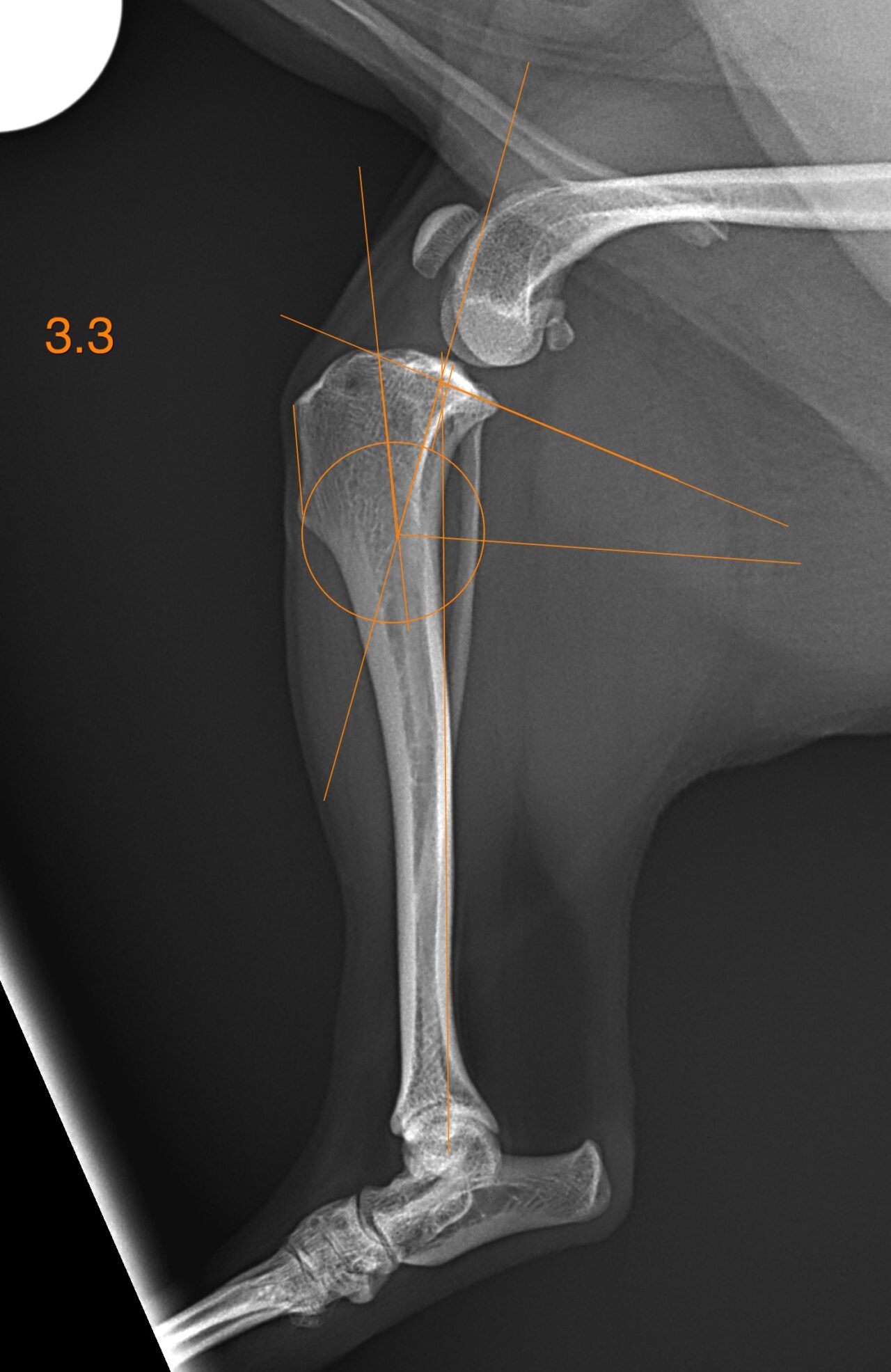
前十字靭帯断裂に対するCBLO #234 チワワの前十字靭帯断裂にCBLOで対応しました。骨切り部位の安定化にHCSとCBLOプレートを使用しています。しばらくは安静が必要です。 症例カテゴリー 放射線治療整形外科軟部組織外科脳神経外科内科腫瘍外科救急・集中治療リハビリテーション科腫瘍内科内視鏡科脳神経科呼吸器外科中医・漢方猫の腎移植循環器科