橈骨固定術#255










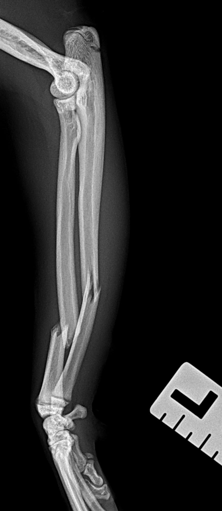
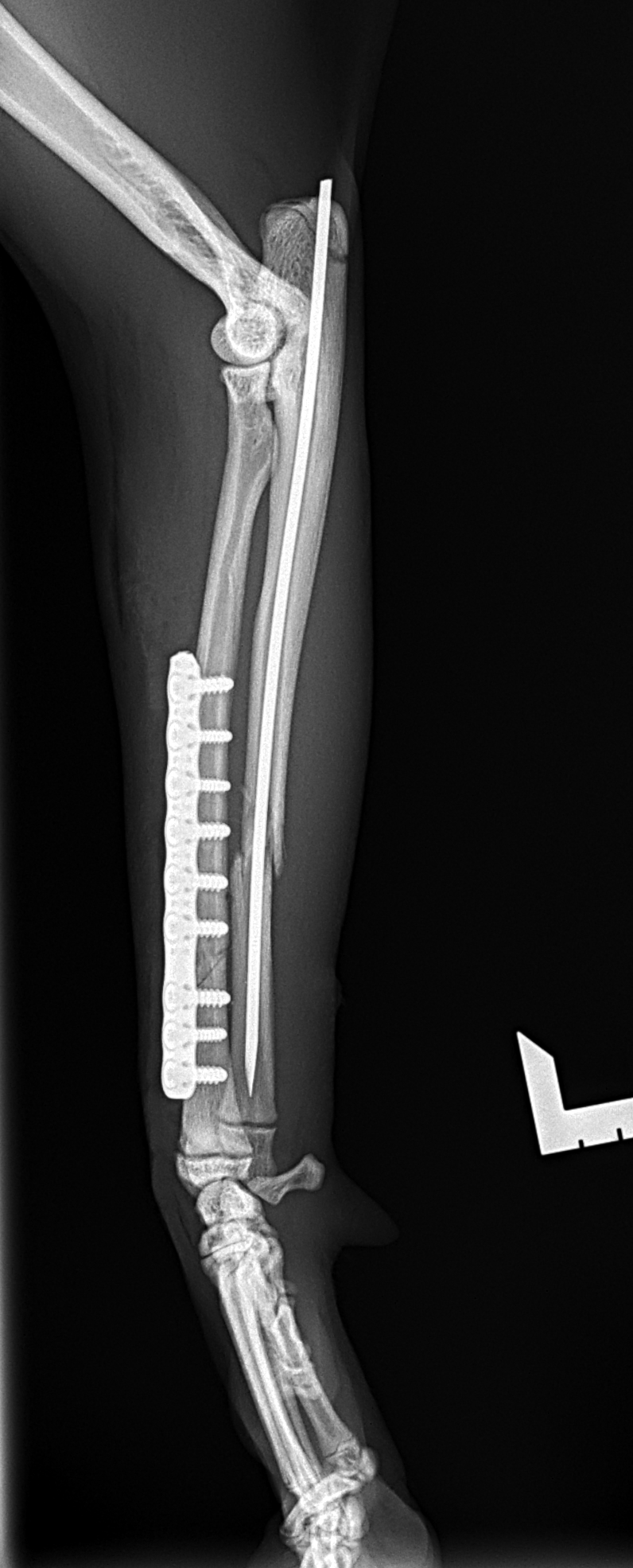
猫さんがご自宅の2Fから落下したとのことで、かかりつけ医を受診されました。右の橈骨尺骨骨折が確認されました。2.4 Titnium Locking Plate(Distal 3holeストレート)、尺骨1.6mm Titanium Wireで固定術を行いました。猫は高いところで遊ぶのが好きな動物なので、遊び場に危険な場所がないか?生活環境を見直す必要があります。










猫さんがご自宅の2Fから落下したとのことで、かかりつけ医を受診されました。右の橈骨尺骨骨折が確認されました。2.4 Titnium Locking Plate(Distal 3holeストレート)、尺骨1.6mm Titanium Wireで固定術を行いました。猫は高いところで遊ぶのが好きな動物なので、遊び場に危険な場所がないか?生活環境を見直す必要があります。