ダクタリ会

症例

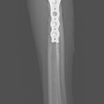
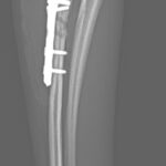
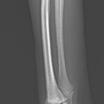
橈骨固定術 #240

Toy Poodleさんがソファーより転落後に橈骨近位を斜骨折したとの事。1.5 Locking Plateで固定術を実施しました。 しばらく安静が必要です。

症例カテゴリー

ページトップへ