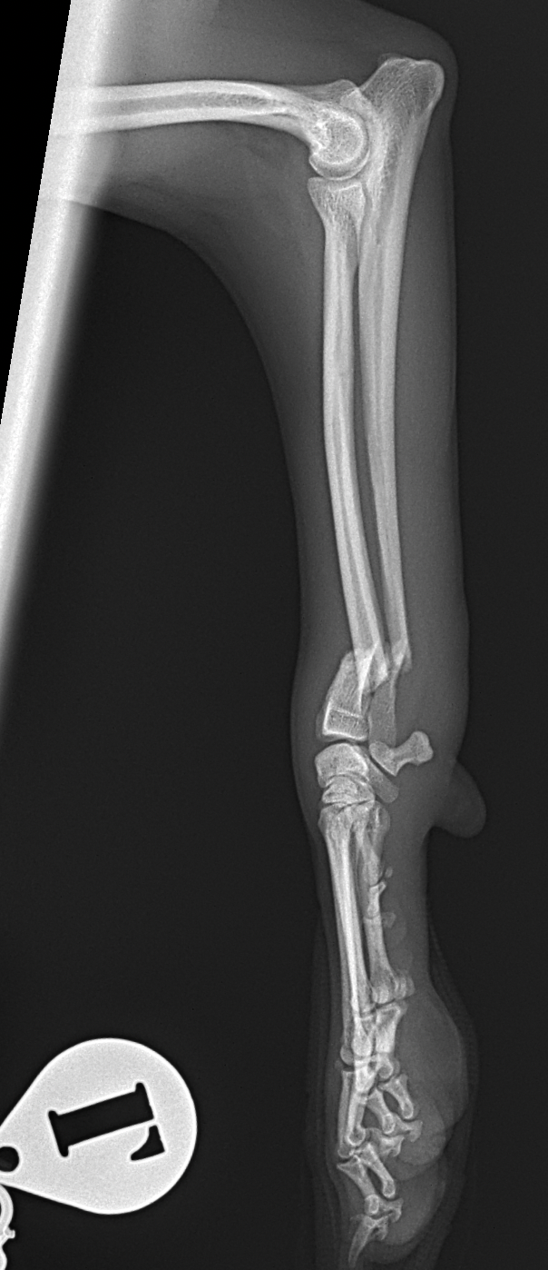
橈骨固定術#257 ポメラニアンの橈骨遠位端骨折に対して、橈骨固定術を行いました。1.5 Locking Plateでモノコーテックスのみで固定術を行います。しばらくは安静が必要です。 症例カテゴリー 放射線治療整形外科軟部組織外科脳神経外科内科腫瘍外科救急・集中治療リハビリテーション科腫瘍内科内視鏡科脳神経科呼吸器外科中医・漢方猫の腎移植循環器科