橈骨固定術 #262










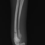
5ヶ月齢の小型犬がソファーからジャンプしたのちに橈骨骨折をしたとの事で、かかりつけ医より紹介受診されました。橈骨は遠位で階段状斜骨折を呈していました。遠位3穴にデザインされたストレートの1.5 Locking Plateをメインとし、橈骨の内側面からOrthogonal Plateにより骨接合術を行いました。しばらくは安静が必要です。










5ヶ月齢の小型犬がソファーからジャンプしたのちに橈骨骨折をしたとの事で、かかりつけ医より紹介受診されました。橈骨は遠位で階段状斜骨折を呈していました。遠位3穴にデザインされたストレートの1.5 Locking Plateをメインとし、橈骨の内側面からOrthogonal Plateにより骨接合術を行いました。しばらくは安静が必要です。