竹串による胃穿孔〜細菌性腹膜炎〜












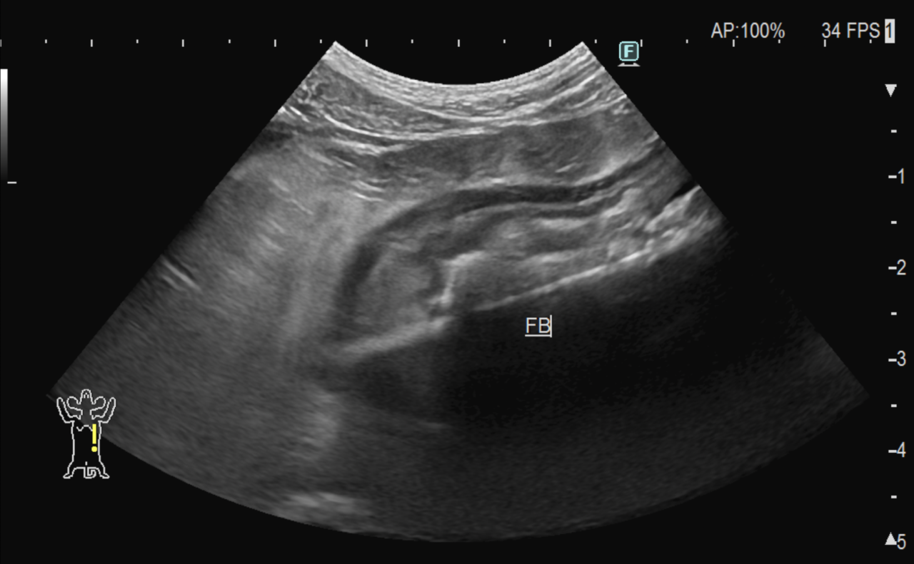
1週間前に団子を串ごと誤飲した可能性があるワンコが急にぐったりしているとのこと。すぐに地元の救急病院を受診すると異物による胃穿孔が疑われました。外科的な摘出と腹膜炎によるクリティカルケアが予想されたため紹介来院しました。開腹後、竹串による胃穿孔が確定されました。腹膜炎も同時に起こっています。穿孔創を封鎖し、腹腔洗浄とドレインの設置を行いました。幸いにも48時間後に食欲が出て退院となりました。愛犬が竹串を誤飲してしまったら、命に関わる事態に発展する可能性もあるため、早めに内視鏡による摘出をお勧めします。このような異物を発見するためにはエックス線よりも超音波検査が非常に有効です。

