胆嚢粘液嚢腫による胆汁性腹膜炎






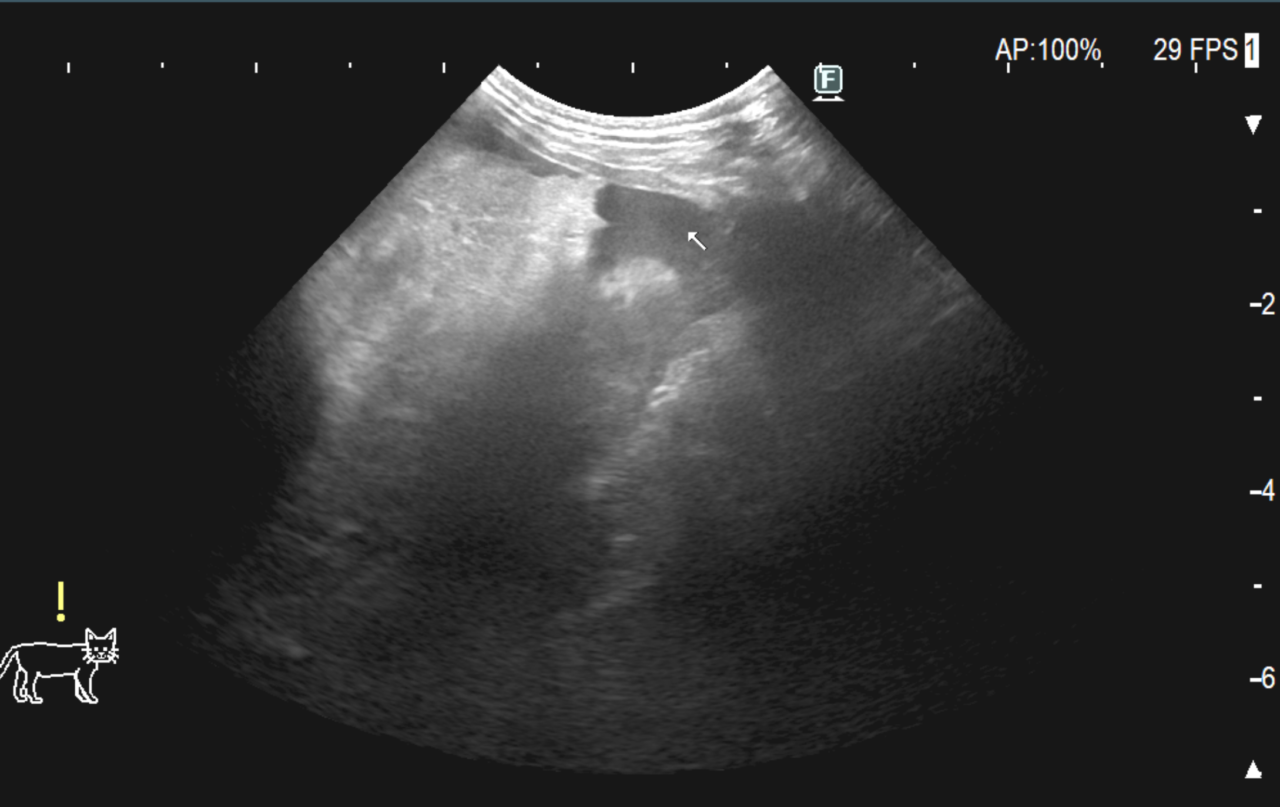
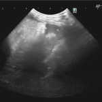
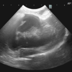
13歳のワンコが激しく嘔吐している。尿が濃い黄色になってきた。食欲もなくぐったりしているとのことでかかりつけ医を受診されました。”緊急手術が必要になるだろう”とのことで当センターに紹介受診されました。各種検査の後、胆嚢破裂による胆汁性腹膜炎と診断し、開腹下で胆嚢摘出術、腹腔洗浄を実施しました。胆嚢は沈黙の臓器と言われているので、定期的に胆嚢を超音波で評価しておきましょう。粘液嚢腫が見つかれば破裂する前に摘出することをおすすめします。予防に勝る治療はありません。






13歳のワンコが激しく嘔吐している。尿が濃い黄色になってきた。食欲もなくぐったりしているとのことでかかりつけ医を受診されました。”緊急手術が必要になるだろう”とのことで当センターに紹介受診されました。各種検査の後、胆嚢破裂による胆汁性腹膜炎と診断し、開腹下で胆嚢摘出術、腹腔洗浄を実施しました。胆嚢は沈黙の臓器と言われているので、定期的に胆嚢を超音波で評価しておきましょう。粘液嚢腫が見つかれば破裂する前に摘出することをおすすめします。予防に勝る治療はありません。