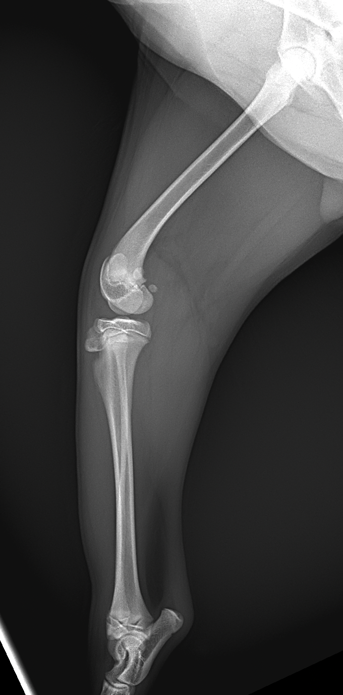
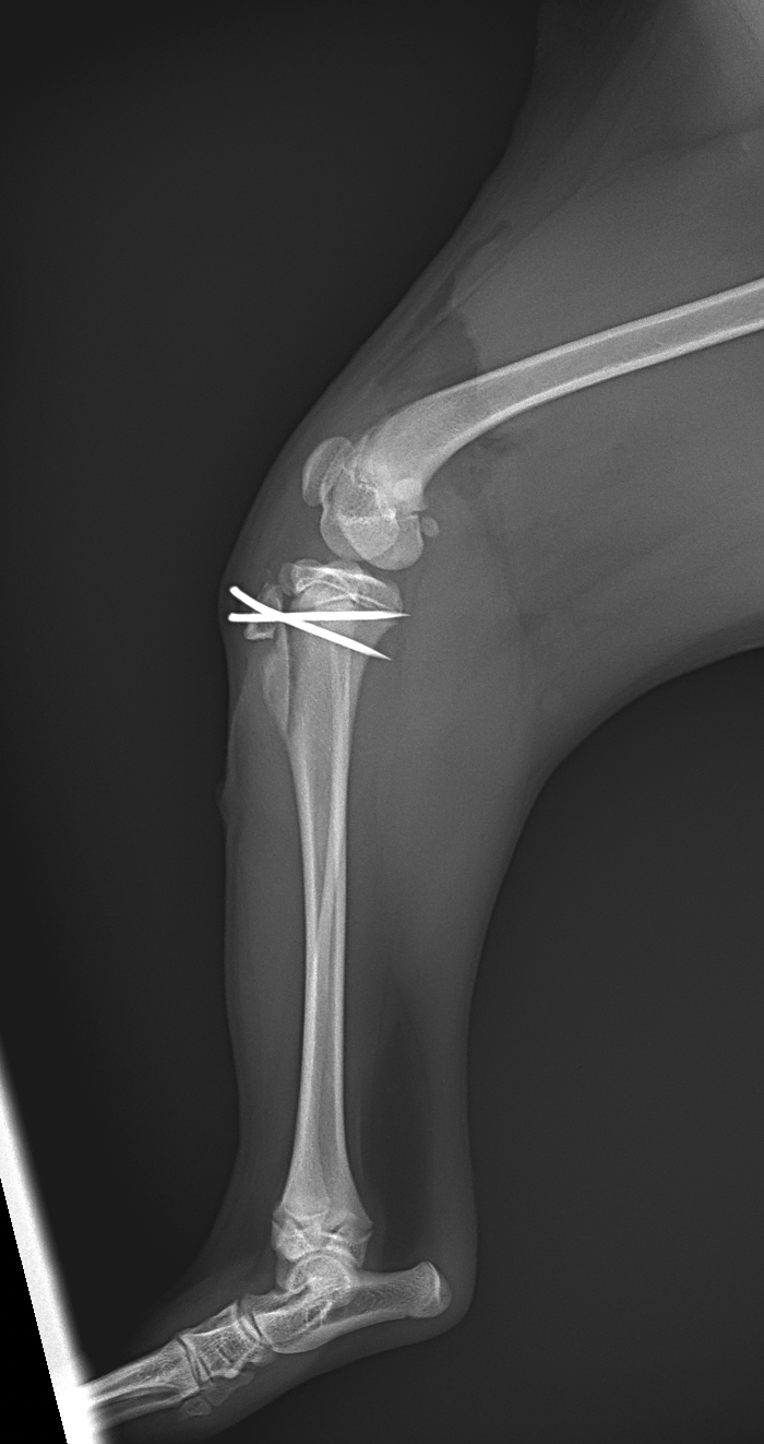
膝蓋骨内方脱臼G4










膝蓋骨内方脱臼G4により右後肢の負重が弱いという患者さんが紹介受診されました。膝蓋骨は大腿骨滑車から脱臼したままで大腿骨滑車内に誘導することができませんでした。大腿骨の変形などは幸い確認されませんでした。大腿骨滑車形成術、内側広筋の切離、脛骨粗面外側移行術、外側余剰関節包の切除によりアライメント手術を行いました。これから後療法も重要になります。










膝蓋骨内方脱臼G4により右後肢の負重が弱いという患者さんが紹介受診されました。膝蓋骨は大腿骨滑車から脱臼したままで大腿骨滑車内に誘導することができませんでした。大腿骨の変形などは幸い確認されませんでした。大腿骨滑車形成術、内側広筋の切離、脛骨粗面外側移行術、外側余剰関節包の切除によりアライメント手術を行いました。これから後療法も重要になります。