アナフィラキシーに伴う腹腔内出血




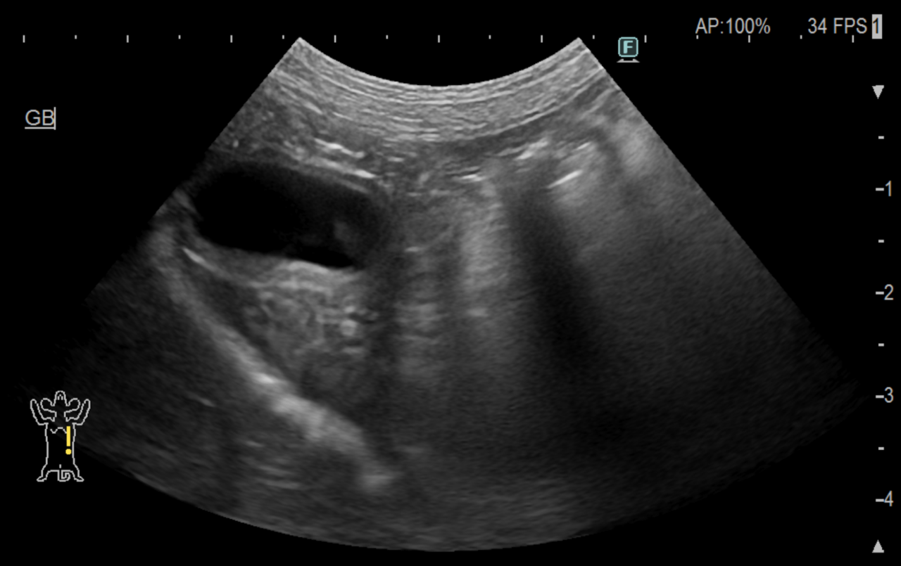
若齢の小型犬が朝から嘔吐下痢がありぐったりしているとのことでかかりつけ医を受診しました。そこでは腹水が確認され、検査をしてみると腹腔内出血をしているようだったとのことで急遽、当センターへ紹介がありました。
検査を行い、胆嚢や膵臓が浮腫状態であること、肝数値が上昇していることなどからアナフィラキシー症状であると診断し、アレルギーに対する治療を行なっています。
近年、アナフィラキシーにより腹腔内出血を起こす症例報告がありましたがメカニズムはわかっていません。肝臓などの臓器から出血が起こるとされていますが、多くは重篤にならずに内科治療で改善します。

