両側のモンテジア骨折








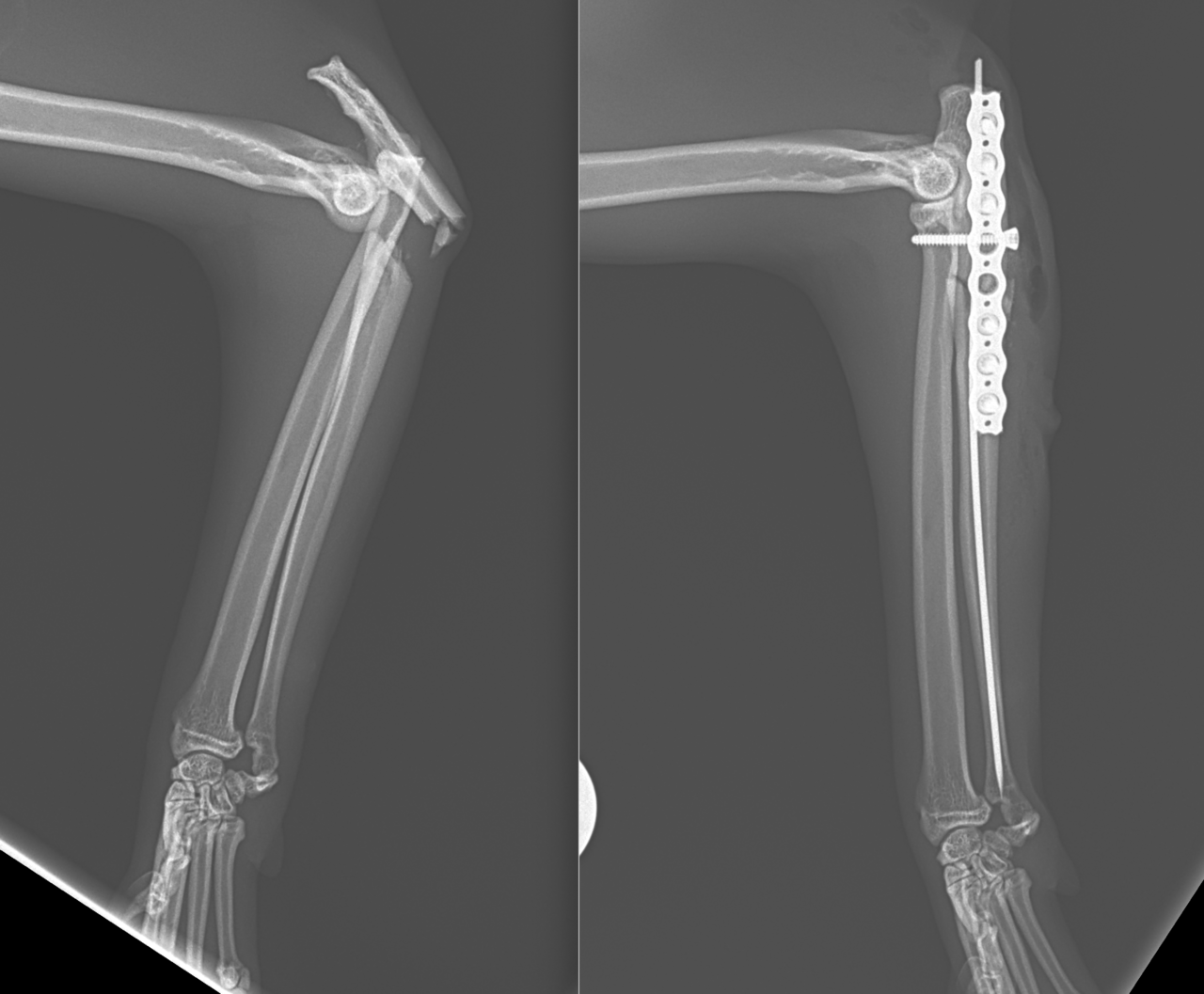
猫ちゃんがお家から居なくなり、探していたところお庭でうずくまって居るところを発見されました。かかりつけの動物病院で両側のモンテジア骨折と診断されました。(原因は落下事故と判明)外科的整復のため当院へ搬送されました。橈骨頭を整復したのち、尺骨にIM pinを刺入、2.0-Locking Plateで固定術を行いました。橈骨頭へ尺骨側からポジションスクリューで固定を併用します。このスクリューは約4週間を目安に抜釘を予定しています。








猫ちゃんがお家から居なくなり、探していたところお庭でうずくまって居るところを発見されました。かかりつけの動物病院で両側のモンテジア骨折と診断されました。(原因は落下事故と判明)外科的整復のため当院へ搬送されました。橈骨頭を整復したのち、尺骨にIM pinを刺入、2.0-Locking Plateで固定術を行いました。橈骨頭へ尺骨側からポジションスクリューで固定を併用します。このスクリューは約4週間を目安に抜釘を予定しています。