両側甲状腺腫瘤切除、甲状腺濾胞腺癌






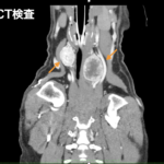
10歳、雑種犬、去勢雄のワンちゃんが、両側の頸部腫瘤(甲状腺腫瘍疑い)の精査のため来院されました。CT検査、細胞診検査にて、リンパ節転移や遠隔転移を認めなかったため、甲状腺腫瘤の摘出を計画しました。手術合併症として、甲状腺機能低下症、低カルシウム血症、反回喉頭神経麻痺などがあります。そのため左右一度にではなく、約1ヶ月の期間をおいて段階的に切除をすることにしました。幸い外上皮小体の温存が可能であり、重篤な合併症もなく退院いたしました。
病理組織診断は甲状腺濾胞腺癌(Thyroid follicular adenocarcinoma)でした。今後は定期的な経過観察が必要です。2回の手術でしたが、大変よく頑張ってくれました。

