前十字靭帯断裂+膝蓋骨内方脱臼の併発に対するPGR+CBLO #235








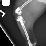
膝蓋骨内方脱臼に罹患していたワンコが急に跛行するようなったとの事。前十字靭帯断裂の併発です。大腿骨滑車は形成されておらず、大腿骨遠位にOAが生じています。人工滑車置換術とCBLOで除痛と機能回復を目指します。しばらくは安静が必要です。








膝蓋骨内方脱臼に罹患していたワンコが急に跛行するようなったとの事。前十字靭帯断裂の併発です。大腿骨滑車は形成されておらず、大腿骨遠位にOAが生じています。人工滑車置換術とCBLOで除痛と機能回復を目指します。しばらくは安静が必要です。