犬の前立腺膿瘍














前立腺の感染症のほとんどは尿道からの細菌の上行移動によって二次的に発生する。下部尿路感染症にかかりやすくなる尿路結石症、腫瘍、狭窄、外傷などは前立腺炎を引き起こす可能性がある。血液、精液、直腸細菌叢を介して感染因子が広がることもあり、大腸菌は前立腺炎に関連する最も一般的な感染因子である。その他、クレブシエラ属、ブドウ球菌属、連鎖球菌属、プロテウス属、シュードモナス属なども知られている。
前立腺炎は中年から高齢の雄犬によく見られる前立腺肥大に関連して発生する。嚢胞などは解剖学的構造および機能の変化など、前立腺の正常な防御機構にダメージを与え、前立腺炎に対する感受性を高める可能性がある。前立腺炎は急性または慢性に生じ、前立腺膿瘍の形成は前立腺炎と併せて発生する可能性があり敗血症や腹膜炎を引き起こす。
臨床症状は多尿、排尿困難、しぶり、血尿、包皮からの出血などがある。急性細菌性前立腺炎に罹患した犬には、食欲不振、発熱、嘔吐、下腹部または脊椎の痛み、歩様異常が見られる場合がある。膿瘍が破裂して腹腔内に漏出すると、敗血症ショック、場合によっては死に至る。慢性細菌性前立腺炎を患っている犬は無症状であるか、再発性尿路感染症の兆候があることがあり、血尿、不妊症、頻尿、膿精子症、血精液症が見られる場合がある。排尿困難およびしぶりは前立腺炎や前立腺腫瘍に関連していることもある。
完全血球計算 :多くの場合非特異的である。病気の重症度やステージに応じて、白血球増加症または白血球減少症が認められる。左方移動を伴う好中球症は急性の場合に発生する。
血液化学検査:敗血症や前立腺膿瘍が発生しない限り正常だが、高ビリルビン血症、低血糖、肝臓酵素、ALP の増加が報告されている。
尿検査 :前立腺液は絶えず生成され、膀胱内で上昇するため、尿検査で前立腺の感染または炎症の所見が得られる。異常、血尿、膿尿、細菌尿などがあるが、場合によっては正常のこともある。
腹部 X 線写真では、肥大した前立腺が下腹部の軟組織塊として観察される。通常のサイズは骨盤入口の幅の 50% 未満である。慢性前立腺炎患者の中には、実質の石灰化が見られる場合もある。腰下リンパ節に腫大があれば前立腺の腫瘍を疑う必要がある。
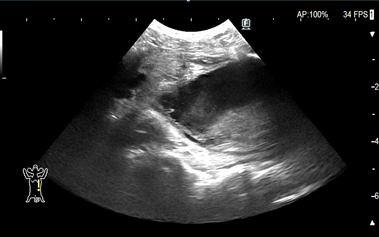
腹部超音波検査では前立腺実質エコーは均質であり、形状は通常左右対称である。前立腺炎の場合、実質は不均一であり、多巣性の低エコー領域が存在する。前立腺膿瘍および前立腺内嚢胞は局所的な単一または複数の無から低エコーの構造として現れる。
生検サンプルは直腸周囲、経腹腔的、または術中に採取する。ある研究では、超音波ガイド下の吸引、生検、またはその両方により、17 例中 14 例で前立腺疾患の正確な診断が得られたと報告されている。
細菌培養は正常な尿路細菌叢を考慮すると慎重に解釈する必要がある。単一の微生物の大量増殖、または複数の抗生物質耐性を持つ細菌感染は要注意である。生検した前立腺組織を培養することもできる。
72,300頭の雄犬を対象とした研究では、481 頭が前立腺疾患を患っており、前立腺炎が症例の 38.5% を占めていた。慢性の細菌性前立腺炎は、健康な雄犬でも一般的であり、急性細菌性前立腺炎よりも頻繁に発生する。急性細菌性前立腺炎は未去勢の雄犬、病気の発生率は 3 歳以上の犬で最も高い。ジャーマン・シェパード・ドッグとドーベルマン・ピンシャーはリスクが高まる。しかし、スコティッシュ・テリアは通常、他の品種に比べて前立腺のサイズが大きいため、この品種は前立腺肥大=病状を示すわけではない。
臨床症状は炎症の種類によって異なる。急性前立腺炎は血尿、排尿困難、尿道分泌物、尿失禁などの急性尿路感染症に典型的な症状を引き起こす。便秘、しぶり、歩様異常、動作緩慢など。前立腺の疼痛が存在し、腰椎、骨盤、腹部の痛みとして現れることもある。食欲不振、元気消失、発熱、嘔吐などの全身症状が認められる場合もある。
慢性前立腺炎では、犬は無症状であることもあるが、断続的に尿路感染症の兆候が見られる。しぶり、便秘、不妊症も発生する可能性もある。前立腺膿瘍は、急性または慢性前立腺炎に似ているが、膿瘍が破裂すると、急性腹症/腹膜炎兆候(痛み、嘔吐、発熱、嗜眠、ショック、脱力感)が明らかになる。
治療・管理
前立腺炎には抗生物質が適応となる。薬剤の選択は培養結果と前立腺への浸透能力に基づいて行われる。急性前立腺炎では前立腺の体液と血液の関門が損傷している可能性があるため、尿路感染症用の抗菌薬が第一選択である。エンロフロキサシンは広範囲をカバーするため、多くの場合、経験的には最良の選択となる。前立腺内で治療濃度に達する他の抗菌薬には、トリメトプリム スルホンアミド、エリスロマイシン、クリンダマイシン、シプロフロキサシン、クロラムフェニコールなどがある。急性前立腺炎患者には、少なくとも 4 週間の抗菌薬による治療が推奨される。慢性細菌性前立腺炎の症例は、前立腺の体液と血液の関門が無傷であること、および前立腺微小環境の慢性的な変化のため治療がより困難になる可能性がある。治療には通常6 週間以上が必要であるが一部の患者ではさらに長い期間の治療が必要となる。
去勢手術は、慢性細菌性前立腺炎の場合の感染症のコントロールと繁殖を目的としていない犬の前立腺のサイズを小さくするために推奨される。急性前立腺炎の場合にも考慮されることがあり、前立腺のサイズは通常、去勢後 1 週間以内に減少する。完全な縮小は 2~4 か月で起こる。急速に退縮しつつある前立腺内に細菌が閉じ込められる可能性を最小限に抑えるために、去勢手術の前後 2~3 週間に適切な抗生物質を投与する。前立腺肥大症は去勢後に再発することはなく、前立腺炎は感染が解消されると再発する可能性はほとんどない。
前立腺膿瘍の治療には多くの場合、去勢手術に加え、排膿と大網置換術を行う。
疼痛管理のためNSAIDs または他の非オピオイド鎮痛薬が使用される。オピオイドは便秘を引き起こす可能性があるため推奨されない。前立腺肥大や前立腺に痛みのある犬の排便を容易にするために便軟化剤や浸透圧性下剤を投与する。
治療開始から 2~4週間以内に臨床症状の改善が期待される。飼い主に尿の色、排尿と排便のしやすさ、排尿の頻度を監視するように伝える。治療の成功を確認するために、抗生物質の中止から 1 週間後に前立腺液または尿の培養を行う。前立腺のサイズの減少は、直腸の触診と超音波検査で確認する。適切な治療を受ければ予後は良好であるが、治療を中止すると再発する可能性がある。去勢手術を行わなかった場合、再発のリスクがある。
予防措置:去勢術

