橈骨固定術 #248








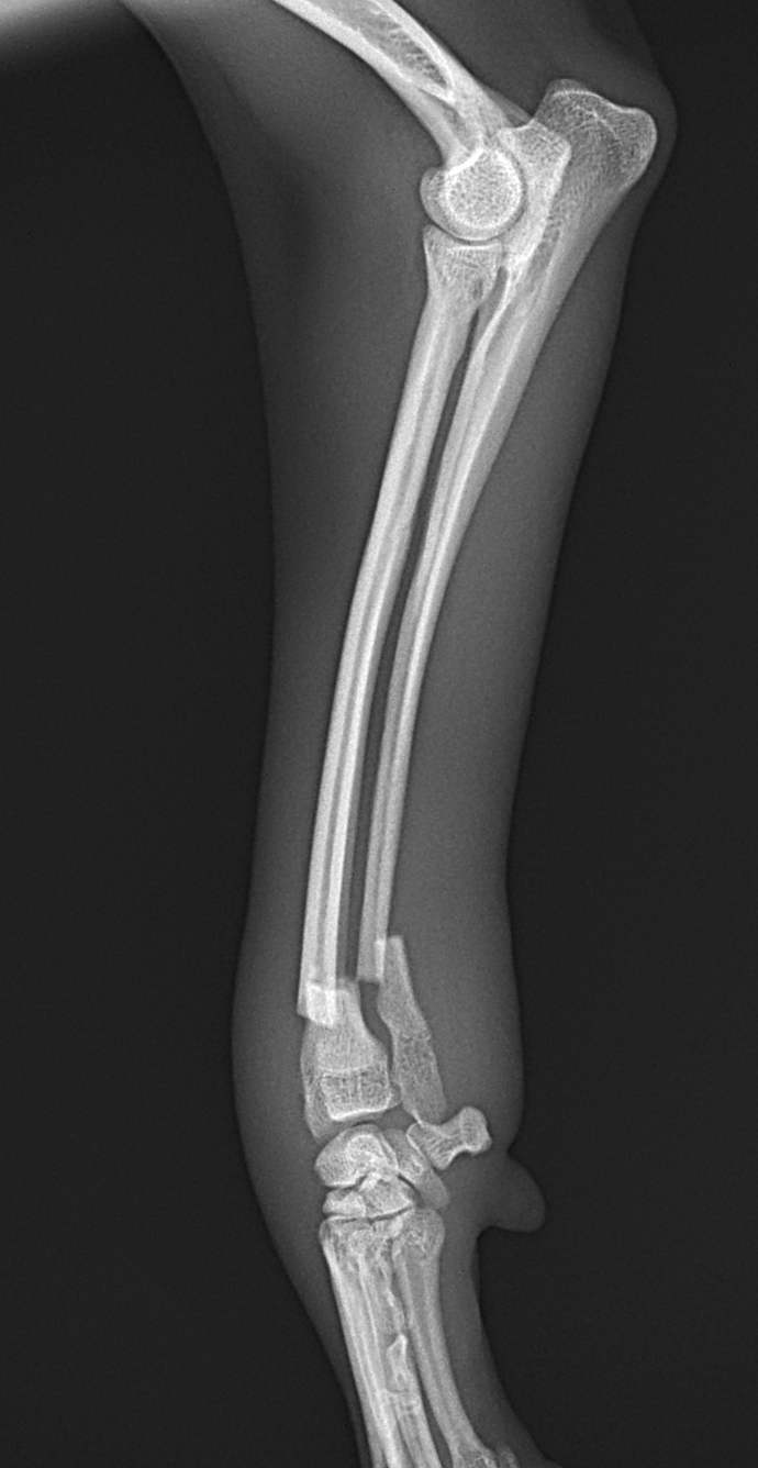
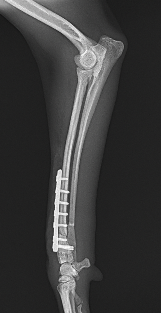
小型犬が室内でジャンプして着地に失敗し、前肢を痛がり始めたとの事。かかりつけ医で橈尺骨遠位端骨折が確定されました。整復を目的に当院を受診されました。1.5 Titanium Locking Plateを用いて固定術を行いました。しばらく安静が必要です。








小型犬が室内でジャンプして着地に失敗し、前肢を痛がり始めたとの事。かかりつけ医で橈尺骨遠位端骨折が確定されました。整復を目的に当院を受診されました。1.5 Titanium Locking Plateを用いて固定術を行いました。しばらく安静が必要です。