橈骨固定術 #230










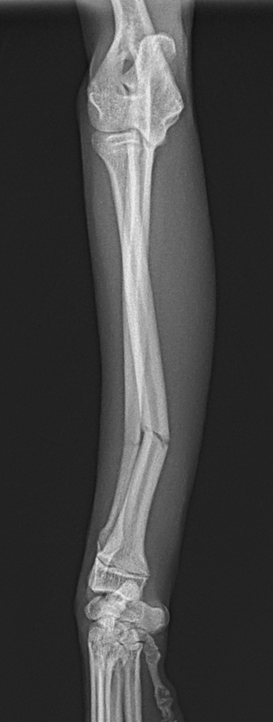
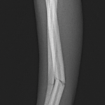
ドッグランで遊んでいた所、他のワンちゃんと接触して橈骨骨折をしたとのことでかかりつけ医より、若い子犬が紹介受診されました。橈骨骨幹部を1.5 Titanium Locking Plateで固定術を行いました。子犬には辛いですがしばらく安静が必要です。










ドッグランで遊んでいた所、他のワンちゃんと接触して橈骨骨折をしたとのことでかかりつけ医より、若い子犬が紹介受診されました。橈骨骨幹部を1.5 Titanium Locking Plateで固定術を行いました。子犬には辛いですがしばらく安静が必要です。