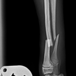
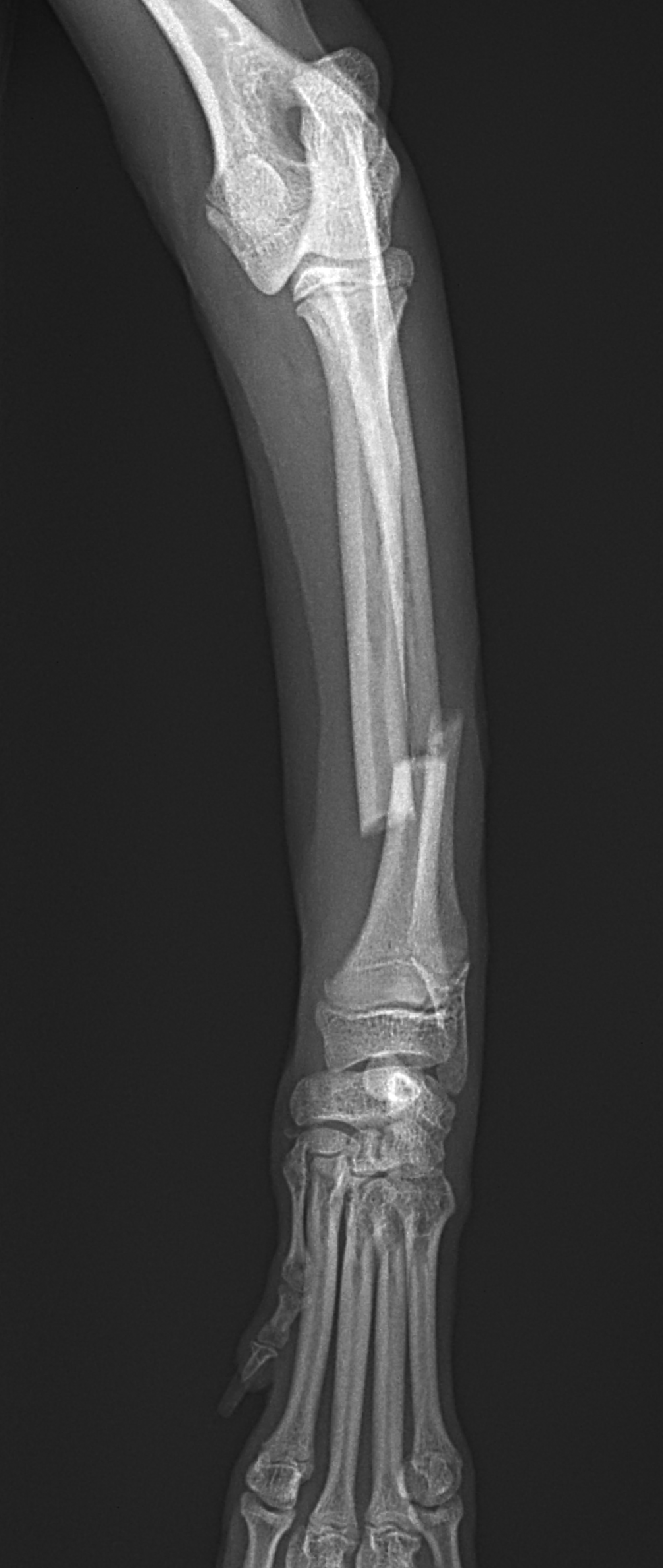
橈骨固定術 #241 Toy Poodleさん(7ヶ月齢)が室内で骨幹中央部からやや遠位の橈骨骨折をしたとの事。1.5コンベンショナルプレートで整復しました。しばらく安静が必要です。 症例カテゴリー 放射線治療整形外科軟部組織外科脳神経外科内科腫瘍外科救急・集中治療リハビリテーション科腫瘍内科内視鏡科脳神経科呼吸器外科中医・漢方猫の腎移植循環器科