消化管内異物・内視鏡摘出




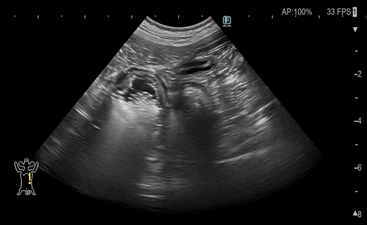
高齢の大型犬が数日前に異物を食べてしまったかもしれないとのことで紹介がありました。
食べたものは網戸の一部であり、通常であれば便で排泄されるものですが丸まって閉塞を起こしている可能性が考えられました。
腹部エコー検査、CT検査で胃の幽門部に異物が確認されたため内視鏡による摘出を試みました。
一部は十二指腸に入り込んでいましたが、無事に摘出できています。




高齢の大型犬が数日前に異物を食べてしまったかもしれないとのことで紹介がありました。
食べたものは網戸の一部であり、通常であれば便で排泄されるものですが丸まって閉塞を起こしている可能性が考えられました。
腹部エコー検査、CT検査で胃の幽門部に異物が確認されたため内視鏡による摘出を試みました。
一部は十二指腸に入り込んでいましたが、無事に摘出できています。