消化管肥満細胞腫




2週間前からなんとなく調子が悪く、下痢が続いているとの主訴で病院を受診し、腹部に腫瘍が複数確認されたとのことで紹介がありました。
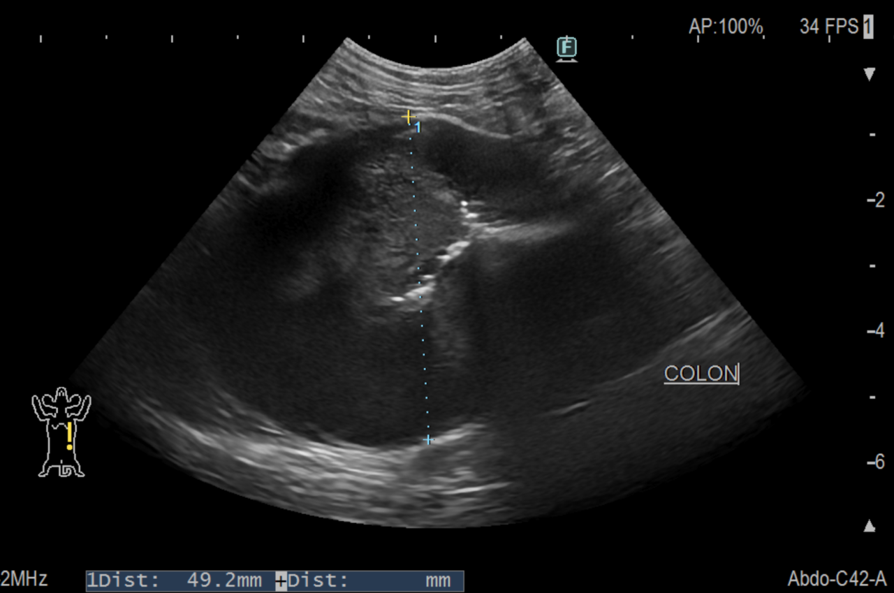
腹部エコー検査で結腸、肝臓、リンパ節が腫瘍化していることが確認され、経皮的針生検を行いました。いずれのサンプルからも肥満細胞が検出され、肥満細胞腫と診断しました。
進行した肥満細胞腫に対しては抗がん剤治療が有効であることが多く、この患者さんも早速治療を開始しました。




2週間前からなんとなく調子が悪く、下痢が続いているとの主訴で病院を受診し、腹部に腫瘍が複数確認されたとのことで紹介がありました。
腹部エコー検査で結腸、肝臓、リンパ節が腫瘍化していることが確認され、経皮的針生検を行いました。いずれのサンプルからも肥満細胞が検出され、肥満細胞腫と診断しました。
進行した肥満細胞腫に対しては抗がん剤治療が有効であることが多く、この患者さんも早速治療を開始しました。