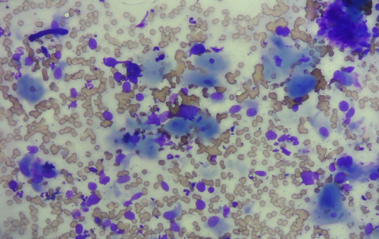
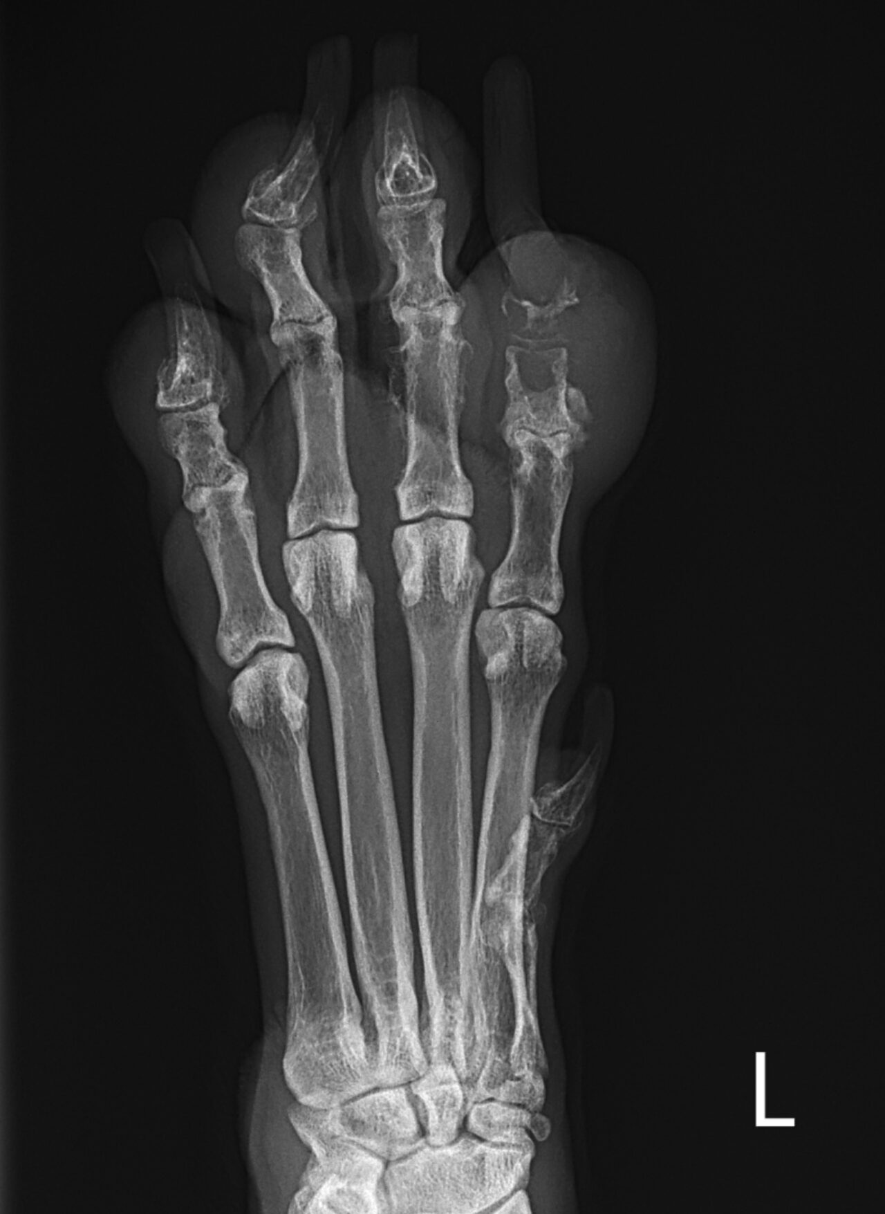
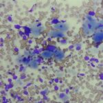
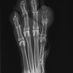
爪床腫瘍(扁平上皮癌) 高齢のラブラドールレトリバーが爪の根元が腫れてびっこを引いているとのことで紹介来院しました。X線検査では既に骨が溶けており、悪性腫瘍が示唆されます。細胞診で扁平上皮癌の疑いとなったため翌日に手術(断指)を行いました。 症例カテゴリー 放射線治療整形外科軟部組織外科脳神経外科内科腫瘍外科救急・集中治療リハビリテーション科腫瘍内科内視鏡科脳神経科呼吸器外科中医・漢方猫の腎移植循環器科