犬のシリカ(ケイ酸)による尿管結石








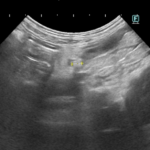
パピヨンの尿管結石症例に対し、外科的に結石摘出を実施した。摘出結石の分析により、成分はシリカ(ケイ酸、SiO₂)と同定された。シリカ結石は犬の尿石症の中でも発生頻度が極めて低いとされ、特に上部尿路(尿管)での発生報告は限られている。また、本結石は溶解療法が無効であり、尿管閉塞を伴う症例では外科的摘出、尿管ステント、SUBシステムなどの介入が必要となる。本症例ではCTやエコーなどの画像診断により尿管閉塞を確認し、腎機能温存を目的として外科的摘出を選択した。術後経過は良好で、現在は再発予防として飲水管理(低ミネラル水)および食事内容の調整を中心に経過観察を行っている。シリカ結石は飲水中の溶存ケイ酸量や生活環境との関連が示唆されており、まれな結石であり、成分分析に基づく原因評価と長期管理戦略が重要であると考えられた。
| 結石種類 | 頻度 | 備考 |
|---|---|---|
| ストルバイト | 多い | 感染の関連性 |
| シュウ酸Ca | 多い | 増加傾向 |
| 尿酸 | やや少 | ダルメシアン |
| シスチン | 少 | 遺伝性 |
| シリカ | 極めて少 | 水・地域依存 |

