犬のリンパ腫




高齢犬の便がタール様であり、状態が悪いため診て欲しいと依頼がありました。
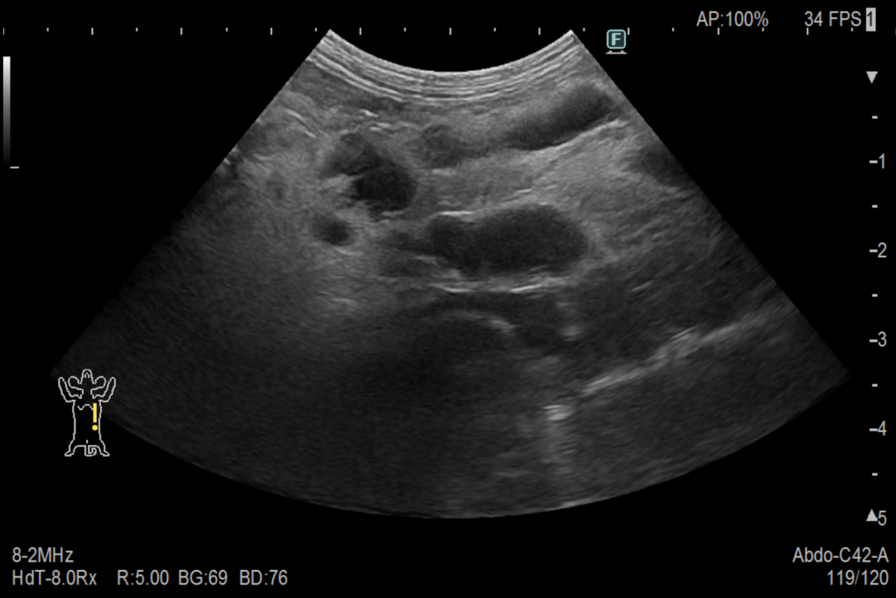
身体検査では全身のリンパ節が腫大しており、超音波検査で腹部を確認したところ重度の腹膜炎を起こしていました。
体表リンパ節の細胞診ではいずれもリンパ腫が疑われる所見が得られました。
全身性のリンパ腫の治療としては化学療法が効果的ですが、治療を開始する前にまず大事なことは患者さんの状態です。抗がん剤に耐えうる状態でないと、治療開始後にさらに体調を崩すこともあります。
副作用の可能性の低い治療から始めて、状態が安定すれば徐々に強化するよう治療計画を立てていきます。

