猫の原発性アルドステロン症




高齢猫が1ヶ月前から活動性が低下し、数日前から頭が上がらず歩けなくなったとの主訴でご紹介がありました。
頸部下垂はカリウム欠乏でよく見られる症状であり、血液検査で低カリウム血症が確認されました。血圧は収縮期が200mmHg以上と重度の高血圧であり、高アルドステロン血症を疑う状況でした。
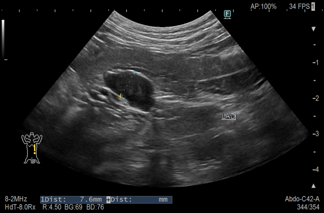
同時に行ったアルドステロン濃度検査では高値であり、画像検査では両側性の副腎腫大がありました。
以上から原発性アルドステロン症と診断し内科治療を開始したところ、1週間後には活動性は正常化、頭をあげられるようになりました。
アルドステロン症は比較的稀な疾患であり、認知度があまり高くないと感じます。
慢性腎臓病でも高血圧、低カリウム血症がよく見られるので、アルドステロン症が見過ごされているケースも多いのではと言われています。

