猫の腸閉塞(毛玉)






消化管閉塞が疑われるとのことで、かかりつけ病院さんから内視鏡検査の依頼がありました。
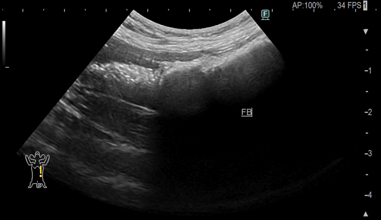
エコー検査を行うと小腸の空腸領域で異物が閉塞していることが確認できました。
残念ながら内視鏡では届かない部位でしたので、腸切開を行い、異物(毛玉)を摘出しました。
長毛種の猫では、自分の毛玉を腸につまらせてしまい手術が必要になるケースがあります。
このような場合は毛玉を排泄しやすくなるご飯やサプリを検討してください。






消化管閉塞が疑われるとのことで、かかりつけ病院さんから内視鏡検査の依頼がありました。
エコー検査を行うと小腸の空腸領域で異物が閉塞していることが確認できました。
残念ながら内視鏡では届かない部位でしたので、腸切開を行い、異物(毛玉)を摘出しました。
長毛種の猫では、自分の毛玉を腸につまらせてしまい手術が必要になるケースがあります。
このような場合は毛玉を排泄しやすくなるご飯やサプリを検討してください。