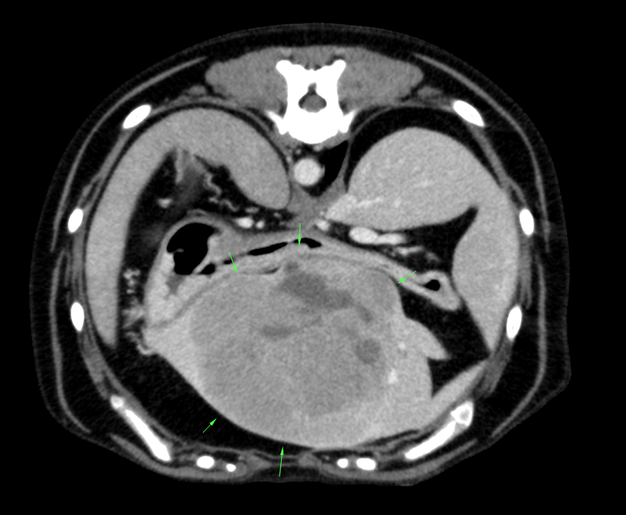
肝臓腫瘍切除






大型犬が高齢期を迎えたので、かかりつけ医で健康診断を実施した所、超音波検査で肝臓に腫瘍が発見されました。症状はなく元気に過ごしているとの事。特に高齢犬の場合、内臓の病気が進行する前に見つかれば、治療や予防措置を早めに取ることができます。 犬は痛みや不調を隠す傾向があります。健康診断を通じて、飼い主が気づかない微細なサインや異常を検出できるため、愛犬が快適に過ごせるようサポートできます。特に6歳以上の大型犬には、健康管理が重要です。健康診断で、肝機能や腎機能などの数値を確認し、栄養管理や生活習慣を見直すきっかけにしましょう。健康診断は、愛犬の長生きとクオリティ・オブ・ライフ(QOL)を向上させるために不可欠です。この患者さんはCT検査で外科的な対応が可能と判断され無症状のうちに肝臓腫瘍の摘出術が行われました。

