肺葉切除術










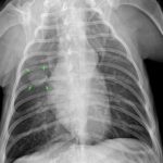
主治医の勧めにより高齢のわんこ(13歳)が健康診断で胸部エックス線検査を行ったところ、肺に腫瘤が見つかったそうです。現在、患者さんに呼吸器の臨床症状はありません。CT検査で全身スクリーニングを行い手術適応か?判断して欲しいとのことで来院されました。その他、転移などは見つからなかったので右肋間開胸術でTAステープラーにより右前葉の切除を行いました。病理では原発性肺がんと診断されましたが、完全に切除されており予後は良好と考えられます。高齢のワンコですがよく頑張ってくれました。これからも長生きしてもらいたいと思います。

