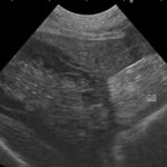
胆嚢摘出 黄疸が進行し、超音波検査で胆嚢粘液嚢腫と診断されたわんこの手術をして欲しいと連絡がありました。十二指腸を切開し総胆管を洗浄、胆嚢摘出を行いました。術後は十二指腸カテーテルを挿入し栄養管理を行います。 症例カテゴリー 放射線治療整形外科軟部組織外科脳神経外科内科腫瘍外科救急・集中治療リハビリテーション科腫瘍内科内視鏡科脳神経科呼吸器外科中医・漢方猫の腎移植循環器科