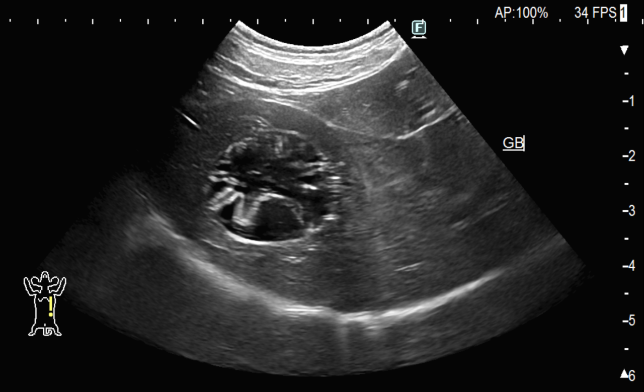
胆嚢粘液嚢腫




高齢犬の定期検診で胆嚢粘液嚢腫が発見されたため、手術が必要か相談したいとのことで紹介来院されました。
血液検査では肝数値の上昇はなく現時点では症状もありませんが、今後さらに高齢になり症状が出てからだとリスクが上がるため手術を行うこととなりました。
待機手術ではなく、胆嚢破裂などの緊急手術では周術期リスクが高くなります。




高齢犬の定期検診で胆嚢粘液嚢腫が発見されたため、手術が必要か相談したいとのことで紹介来院されました。
血液検査では肝数値の上昇はなく現時点では症状もありませんが、今後さらに高齢になり症状が出てからだとリスクが上がるため手術を行うこととなりました。
待機手術ではなく、胆嚢破裂などの緊急手術では周術期リスクが高くなります。