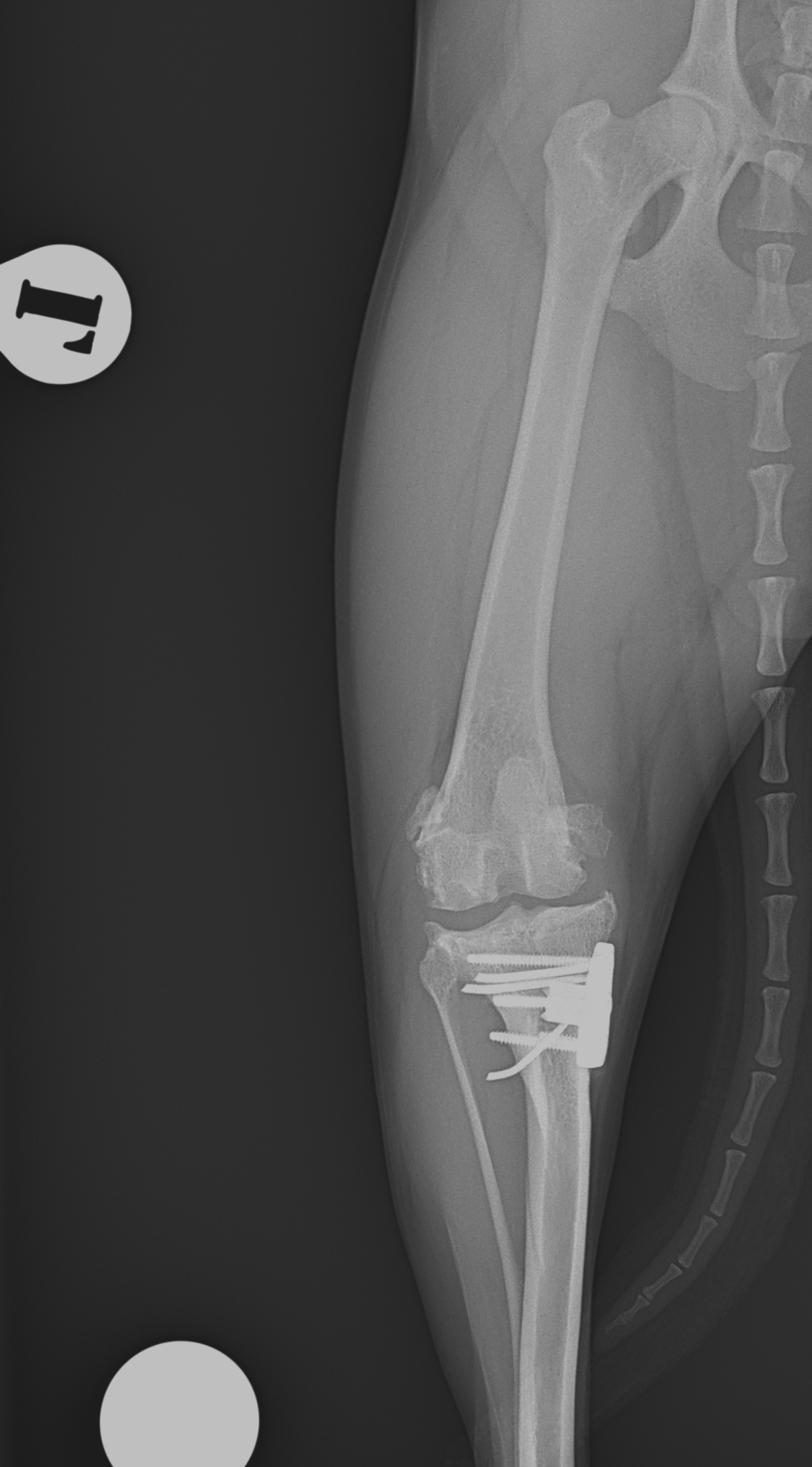
膝蓋骨内方脱臼+前十字靭帯断裂 PGR#21+CBLO #251










過去に膝蓋骨内方脱臼G4で手術を受けている患者さんが、急に跛行を呈するようになったとの事。関節炎が顕著であり、前十字靭帯断裂の併発も疑われます。ファットパッドサイン陽性、脛骨圧迫試験陽性、脛骨ピボット圧迫試験陰性でした。大腿骨滑車のリプレイスメントとCBLOで対応しました。










過去に膝蓋骨内方脱臼G4で手術を受けている患者さんが、急に跛行を呈するようになったとの事。関節炎が顕著であり、前十字靭帯断裂の併発も疑われます。ファットパッドサイン陽性、脛骨圧迫試験陽性、脛骨ピボット圧迫試験陰性でした。大腿骨滑車のリプレイスメントとCBLOで対応しました。