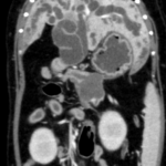
膵臓腫瘍による肝外胆管閉塞






若齢の猫が重度の黄疸を呈しているとのことで紹介がありました。
食欲は廃絶し体重は1kg以上減少してしまっていました。
腹部エコー検査で総胆管開口部に腫瘤が形成されており、これにより胆汁が腸へ流れない状態となっていました。
これに対する治療として、生検を兼ねた胆嚢十二指腸吻合術をおこないました。
病理検査の結果は膵臓癌であり予後は厳しいですが、術後は黄疸も改善し、少しではありますが自分から食べることができています。
根治的治療ではありませんが、苦痛・不快感を緩和し、家族と過ごす時間を増やすことができました。

