Feline Meningoencephalomyelitis of Unknown Origin : 猫の由来不明髄膜脳炎 FMUO


















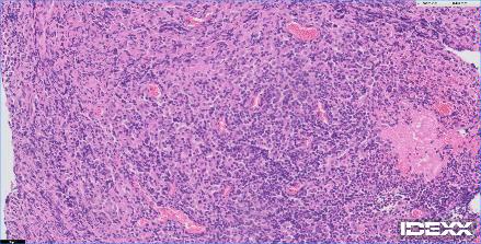
12歳の猫が2週間前よりふらつき、食欲不振、硬直性の痙攣があるとのことで、主治医から紹介がありました。MRIでは前頭葉を中心としたMASSエフェクトを伴う病変が確認されました。リンパ腫あるいは髄膜腫が強く疑われました。CSFでは無色透明で髄液蛋白60mg/dl、Ph8.5 細胞数2(5以下正常)単核球100%パンディ反応(+1)。CSF中のGlu63mg/dl、CK<10、Na 166 K 2.9 Cl 131。手術までの1週間の間にステロイドを中心とした内科療法を実施したところ、臨床症状も改善し、再度、実施したMRIでも以前の病変がほぼ消失していました。ステロイドに強く反応したことからリンパ腫の存在が強く疑われました。今後、化学療法を継続するか?否か?あるいはFIPなどの鑑別を行うために、嗅球と前頭葉の生検が行われました。生検の結果、コロナウイルスの感染、リンパ腫の存在は否定されました。また、血清学的にもトキソプラズマ、FIPの関与は否定的でした。そのため、プレドニゾロンを継続し、経過観察中です。2017年に猫のMUOについて世界で初めてイギリスより16例のまとまった報告が初めての論文として掲載されており、今回の患者さんはそのFMUOのカテゴリーに分類されると考えられました。

