経皮的レーザー椎間板除圧術 PLDD












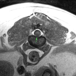
コーギー犬には椎間板ヘルニアや変性性脊髄症が起こりやすいことはよく知られています。コーギーさんが日常生活には支障はないが、ごく軽度のふらつきがあるので主治医からMRI検査を勧められ来院しました。MRIでは軽度の椎間板ヘルニアが確認されました。この程度であれば外科的手術は適応ではありません。しかし、3箇所にヘルニアがあることから同時に3箇所に処置を行うことになりました。正確に行うために外科用イメージを使いながら3部位の病変部位に経皮的に椎間板を狙ってレーザーファイバーを刺入します。このPLDDは低侵襲ではありますが、全身麻酔下で処置を行いますので、通常は翌日の退院となります。しかし、特に運動制限などは必要としていません。

