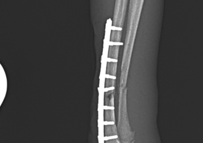
整形外科 注意 ボタンをクリックした先に、治療中および手術中の画像が説明で使用されている場合がございます。 そのような画像に弱い方は閲覧なさらないようお願いいたします。 整形外科 股関節脱臼に対する大腿骨頭頸部切除術 整形外科 橈骨固定術(骨端板骨折)#246 整形外科 膝蓋骨内方脱臼に対する人工滑車置換術 #19 整形外科 CBLO #238 整形外科 膝蓋骨内方脱臼 G4に対するPGR#18 整形外科 橈骨固定術 #245 整形外科 猫の脛骨骨折〜シャイな子を救う、やさしい手術〜 整形外科 三点骨盤骨切り術(Triple Pelvic Osteotomy) 整形外科 レッグ・ペルテス病に対するFHNE 整形外科 膝蓋骨内方脱臼G3に対するPGR#17 整形外科 猫の足根中足関節脱臼 整形外科 MPL G4に対するPGR #15+TTT <«345678910111213> 症例カテゴリー 放射線治療整形外科軟部組織外科脳神経外科内科腫瘍外科救急・集中治療リハビリテーション科腫瘍内科内視鏡科脳神経科呼吸器外科中医・漢方猫の腎移植循環器科