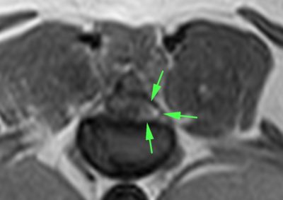
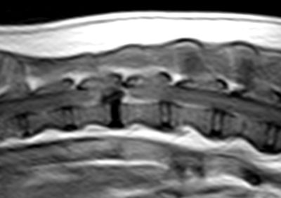
脳神経外科 注意 ボタンをクリックした先に、治療中および手術中の画像が説明で使用されている場合がございます。 そのような画像に弱い方は閲覧なさらないようお願いいたします。 脳神経外科 Ventral Slot 脳神経外科 椎間板ヘルニア 脳神経外科 PLDD 多発性頸部椎間板ヘルニア 脳神経外科 椎間板ヘルニア 脳神経外科 経皮的レーザー椎間板除圧術 PLDD 脳神経外科 椎間板ヘルニア 脳神経外科 環軸椎不安定症に対する環軸固定術 脳神経外科リハビリテーション… 脊髄梗塞 脳神経外科 ベントラルスロット 脳神経外科 ベントラルスロット 脳神経外科 環軸不安定症 脳神経外科内科 Feline Meningoencephalomyelitis of Unknown Origin : 猫の... <1234567> 症例カテゴリー 放射線治療整形外科軟部組織外科脳神経外科内科腫瘍外科救急・集中治療リハビリテーション科腫瘍内科内視鏡科脳神経科呼吸器外科中医・漢方猫の腎移植循環器科