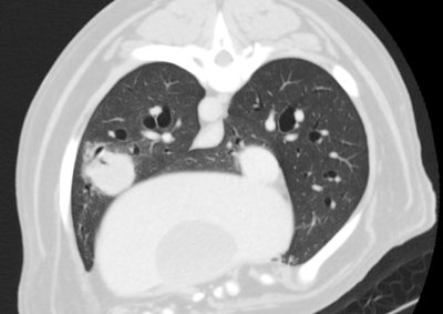
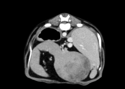
腫瘍外科 注意 ボタンをクリックした先に、治療中および手術中の画像が説明で使用されている場合がございます。 そのような画像に弱い方は閲覧なさらないようお願いいたします。 腫瘍外科 フレンチブルドッグ胃腺癌 胃部分切除 軟部組織外科腫瘍外科救急・集… 肝臓腫瘤破裂による腹腔内出血 腫瘍外科腫瘍内科 猫の直腸切除吻合 直腸リンパ腫 腫瘍外科 犬の肺腺癌の1例 腫瘍外科放射線治療 犬の軟部組織肉腫に対する腫瘍辺縁切除及び術後放射線療法 腫瘍外科 犬の肝細胞癌 軟部組織外科腫瘍外科 ジャックラッセルテリアの胃腫瘍 腫瘍外科 吻側下顎骨切除術〜メラノーマ〜 腫瘍外科 猫の上顎腫瘍切除 腫瘍外科 犬の脾臓腫瘤摘出 軟部組織外科腫瘍外科 大腸腺癌 軟部組織外科腫瘍外科 肺葉切除術 <1234567> 症例カテゴリー 放射線治療整形外科軟部組織外科脳神経外科内科腫瘍外科救急・集中治療リハビリテーション科腫瘍内科内視鏡科脳神経科呼吸器外科中医・漢方猫の腎移植循環器科