救急・集中治療
注意
ボタンをクリックした先に、治療中および手術中の画像が説明で使用されている場合がございます。
そのような画像に弱い方は閲覧なさらないようお願いいたします。
-

救急・集中治療
重度の高血圧によるうっ血性心不全
-

軟部組織外科救急・集中治療
猫の尿管結石に対する膀胱尿管新吻合術 #18
-

軟部組織外科救急・集中治療
尿管結石に対する尿管膀胱新吻合術 #17
-

軟部組織外科救急・集中治療内…
食道内異物〜食道切開異物摘出術
-

軟部組織外科腫瘍外科救急・集…
出血性心タンポナーデに対する胸腔鏡下心膜切除術
-

救急・集中治療内視鏡科
食道内異物〜犬ガム〜
-

内視鏡科救急・集中治療
食道内異物
-

軟部組織外科内科救急・集中治…
沈黙の胆嚢粘液嚢腫
-

軟部組織外科救急・集中治療
胃拡張捻転症候群(GDV)
-

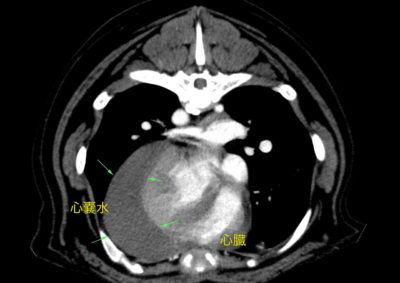
救急・集中治療
心タンポナーデ+腹腔内出血によるショック
-

軟部組織外科救急・集中治療
梅干し種誤食による腸閉塞
-

軟部組織外科救急・集中治療
猫の腸閉塞

