救急・集中治療
注意
ボタンをクリックした先に、治療中および手術中の画像が説明で使用されている場合がございます。
そのような画像に弱い方は閲覧なさらないようお願いいたします。
-

救急・集中治療軟部組織外科
膀胱破裂〜尿性腹膜炎
-

軟部組織外科救急・集中治療
猫の両側尿管閉塞に対する腎下方移動尿管膀胱新吻合術 #21
-

救急・集中治療循環器科
肺高血圧症による失神
-

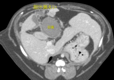
軟部組織外科救急・集中治療
胆嚢破裂に対する胆嚢摘出術〜空腸栄養カテーテル設置
-

軟部組織外科救急・集中治療
脾臓腫瘤破裂による腹腔内出血
-

救急・集中治療
免疫介在性血小板減少症(ITP)
-

救急・集中治療
アナフィラキシーショック
-

軟部組織外科救急・集中治療
肝膿瘍・細菌性腹膜炎による敗血症
-

軟部組織外科腫瘍外科救急・集…
脾臓破裂
-

軟部組織外科救急・集中治療
犬の肝葉捻転
-

救急・集中治療内視鏡科
乾燥剤(生石灰:酸化カルシウム)の誤飲は危険です。
-

軟部組織外科救急・集中治療
消化管内異物(胃切開)

